Bitte aktivieren Sie JavaScript, damit Sie die Webseite einwandfrei benutzen können!

Folgende Links helfen Ihnen JavaScript für Ihren Browser zu aktivieren:
Gesellschaft der Ärzte in Wien, Billrothhaus, Gesellschaft der Ärzte

Die aktuelle Rolle der Bildgebung
Univ.-Prof. Dr. Gerhard Mostbeck | Schwindsucht in Zeiten der Multiresistenz: Die gefürchtete Seuche früherer Zeiten hat uns wieder eingeholt
Loading the player...

2 | 0
Dauer: 14:46
Vortrag

Weitere Informationen

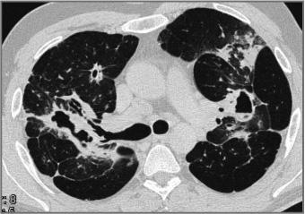
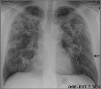
Der Radiologische Befund ist eine der klinischen Kriterien um die Tuberkulose zu diagnostizieren. Prof. Dr Gerhard Mostbeck betont gerade deshalb die Wichtigkeit, die gesamten radiologischen Möglichkeiten in der Diagnostik der Tuberkulose auszuschöpfen. Denn die Tuberkulose weist je nach Immunlage unterschiedlich Ausprägungsmöglichkeiten auf, kann alle Organsysteme befallen und simuliert viele andere Erkrankungen. In Abhängigkeit, ob es sich um eine Miliartuberkulose, Primärtuberkulose oder postprimäre Form handelt, können unterschiedliche charakteristische Veränderungen in der Bildgebung in Erscheinung treten. Das Lungenröntgen stellt den Grundpfeiler dar, auf dem sich die weiteren diagnostischen Methoden wie Sonographie, CT und MRT stützen und je nach Ausprägung und Organbefall eine exaktere Zuordnung zulassen. Professor Mostbecks Vortrag gibt einen praktischen Überblick über den richtigen und zielführenden Einsatz der bildgebenden Verfahren, um damit dem großen „Mimiker Tuberkulose“ auf die Schliche zu kommen.



Titel:Die aktuelle Rolle der Bildgebung
Vortragender: Gerhard Mostbeck (Institut für Diagnostische und interventionelle Radiologie, Wilhelminensp)
Datum:08.04.2015
Dauer:14:46 min.
Ort:Wien
Fach: Innere Medizin
Art: Falldiskussion
Thema:Tuberkulose,Radiologie
Veranstaltung: Schwindsucht in Zeiten der Multiresistenz: Die gefürchtete Seuche früherer Zeiten hat uns wieder eingeholt
Moderation: Hans Domanovits (Univ.-Klinik für Notfallmedizin, MedUni Wien, AKH)
Peter Pokieser (DEMAW/Unified Patient Division, MedUni Wien, AKH)
Alexander Hirsch (DEMAW/Unified Patient Division, MedUni Wien, AKH)
Kursleiter: Univ.-Prof. Dr. Hans Domanovits, Univ.-Prof. Dr. Peter Pokieser, Alexander Hirsch